マウスピース矯正とは

マウスピース矯正の利点としては、まず第1に何といっても「目立たない、みえない、わからない」ということです。成人矯正を希望する方の多くが、矯正には興味はあるものの、仕事上装置が見えることは躊躇しがちです。その点マウスピースは口腔内に装着してしまうと、あっという間になじんでしまい、マウスピースを使用していることがわかりません。
第2に「従来の矯正装置のような違和感や装置による口内炎の併発を起こさない」ということです。装置を取りかえるたびに痛みを生じますが、マウスピースは治療中歯の移動により一時的に多少痛みを生じることもありますが、装置が原因で痛みを生じることはありません。
第3に「衛生管理がしやすい」ということです。固定式の矯正装置は自ら外すことができないので、どうしても口腔清掃が十分に行うことができずに、装置の下や歯と歯の間に虫歯を発生してしまうことがありますが、マウスピースは簡単に着脱することができます。通常通りの歯ブラシを行えますので、衛生的に優れています。
マウスピース矯正が向いている方

マウスピース矯正は1日最低17時間装着する必要があります。ですので、この治療方法をご理解いただき、協力的な患者様であることが絶対に必要です。全歯またはそれに近い状態で矯正するには、従来の矯正装置に比べて矯正力は強くありませんので、向いていません。
当クリニックの取り扱いマウスピース

アソアライナーの優位点は歯を矯正したいけれど、「固定装置をつけたくない」「部分的に矯正したい」「治療費を抑えたい」さらには、仕事の都合上、装置が目立つことが困るというような患者様のご要望に応えることができるものだと考えています。
また矯正装置の装着時に生じる違和感もほとんどなく、患者様自ら容易に着脱できます。食事や口腔清掃時に取り外すことができ、食事は今まで通り摂取できますので、日常生活のQOL(人生における生活の質、満足度)を下げることもなく、矯正治療中のう蝕や口内炎の発生のリスクが上がることもありません。患者様にはとても喜ばれています。
アソアライナーの特徴

毎月1度歯型を取り、厚さの異なる3種類のアライナー(ソフト0.5mm、ミディアム0.6mm、ハード0.8mm)を制作します。その後、厚さが薄い方から順番に10日ずつ口腔内に装着し交換していきます。
最初は弱い力で無理な力を加わえず徐々に歯を確実に移動させて矯正力をコントロールできますので、痛みが生じにくいのです。
症例紹介
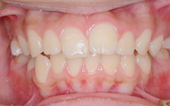
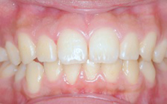
症例1
| 治療内容 | 上顎前突と叢生 18歳女性。主訴は「上の前歯の歯並びを綺麗にしたい」ということでした。歯型を取り診査診断したところ、11カ月で歯の移動が完了予定という結果が出ました。矯正治療中、IPRを数回行いました。 ※IRPとは、Interproximal Enamel Reductionの略で、歯と歯の間にスペース(隙間)を作り、歯のサイズ調整を行う方法です。0.1mmの単位で歯と歯の間にヤスリを注水しながら行います。歯の神経にダメージや虫歯になるリスクもありません。まったく安全な範囲で行いますので、痛みもなくそのため麻酔はいたしません。 |
|---|---|
| 矯正治療費 | ¥459,000(税込) <治療費内訳:矯正基本治療料、矯正中の調整料、及び診断料> |
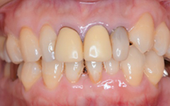
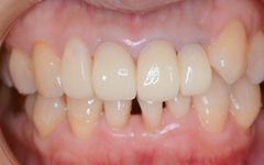
症例2
| 治療内容 | 下顎前歯 叢生 45歳女性。上下前歯の治療がご希望でした。診断結果は右下1番の抜歯は行いますが、9カ月で歯の移動が完了。その治療期間中に上顎前歯4本をオールセラミックに変えて、お口元を改善いたしました。 |
|---|---|
| 矯正治療費 | ¥437,400(税込) <治療費内訳:矯正基本治療料、矯正中の調整料、及び診断料> |
無料矯正相談

マウスピース矯正は固定式矯正装置と比べて歯を動かす力(矯正力)は弱いため、診査・診断は歯型を取り、適応症か非適応症か判断いたします。
適応する症例としては、1年を目安にして歯の移動が終了する症例が該当します。適応しない症例は、歯が部分的に重なっていたり、でこぼこして歯並びが乱れているような、叢生(そうせい)の強い症例や、骨格性の開口等が該当し、非適応症となります。
無料で矯正のご相談も承っておりますので、ご興味のある方はぜひ一度ご来院ください。
費用
| 矯正基本治療料 | ¥324,000(税込) |
|---|---|
| 矯正中の調整料(月1回) | ¥10,800 (税込) |
| 診断料 | ¥16,200 (税込) |
| その他 | クリーニング代として保険料がかかります。 |
矯正治療をお考えの皆様へ
マウスピース矯正は、日常生活上または仕事上、何の支障もなく矯正治療を行うことができます。当クリニックでは50代の方も「最近になって、上の前歯が前に出てきたから」とマウスピース矯正を行いました。成人になってからも歯は動きますし、矯正治療に「遅すぎる」という事はありません。
当クリニックでマウスピース矯正をされる患者様からは「痛くない。見えない。普通に喋れる。」などご好評をいただいております。矯正治療にご興味のある方は、当クリニックまでお気軽にお越しください。ご相談も承っております。





































