記事タイトル
左上1番インプラントの10年後の歯茎の状態は?
1,2013年12月
2013年左上1番(黄色い矢印の部分)が欠損しブリッジをされていま
したが、そのブリッジが外れたためブリッジからインプラントに変更
したいという希望で来院されました。顎の骨の状態はCTで確認したと
ころ、良好の為局部麻酔を行い歯茎を切開しインプラントを埋入し
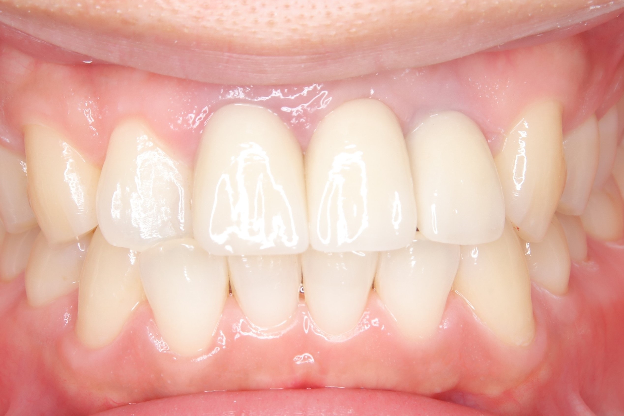
2013年12月に上部構造を装着し治療は終了しました。その後仕事の
為来院できず2014年5月に10年ぶりにメンテナンスに来られた時の
口腔内写真です。全く10年間歯茎が下がることなくいい状態を維持さ
れていました。レントゲンでも問題はありません。もともと顎の骨が
薄いこともなく、両脇に歯がある(中間歯欠損といいます)部位にイ
ンプラントを埋入、お口全体が歯周病に罹患していない等条件が揃っ
ていたということはありますが、やはりセルフケアが一番大事かなと
思います。




































