記事タイトル
20年以上経過したインプラントオーバーデンチャー
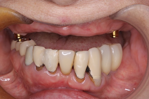
20年以上当クリニックに通院くださる患者様です。正面の画像からは
下顎の前歯が歯周病になり歯が前方に動き出していますが、患者様は
不自由がないということでメンテナンスを続けています。現在このよ
うな上顎無歯顎の場合には6本のインプラントを埋入するよう推奨さ
れています。20年以上前は確立された治療法はないので、術者の経験
値で行われていました。それだけでなく骨の厚みや経済状態など、さ
まざまな要因も重なりましたので、左右の犬歯部に2本のインプラン
トのみ埋入しました。今なら顎の骨の状態にもよりますが、少なくて
も4本は必要です。当然ながらインプラントの本数が多くなる程義歯
の安定は向上します。もう一つ義歯の材質です。金属床を使用しまし
た。インプラントを使い義歯が安定しますと、嚙む力が向上します。
それにより保険の入れ歯では材質の強度が落ちるため、義歯の破折に
つながりだけでなく、インプラント自体にも負担がかかり炎症をおこ
しやすくなります。インプラントオーバーデンチャーは金属床をお勧
めいたします。





































