記事タイトル
上顎前歯に1本インプラントを埋入し、その上に1本ではなく2本のかぶせ物を装着した症例
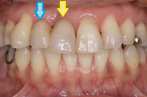
今回の症例は右上1番(黄色い矢印)にインプラントを1本埋入し、
その隣の右上2番を抜歯しそこにはインプラントを埋入せず(青い矢
印)歯をつなげたかぶせ物をスクリュー固定したものです。(CT画像
では抜歯する前の右上2番(青い矢印)が映っています)このかぶせ
物の形はカンチレバーと呼ばれています。2歯欠損しているので通常
は2本のインプラントを埋入するのですが、このように前歯や臼歯部
においても両側の歯が動き2歯分の隙間が1.5歯分の隙間になっている
場合などに使います。そのほかには全体が軽度の歯周病に罹患してい
る場合には将来の周囲の歯の予後が不安な場合などに使います。2歯
欠損している状態で1本のインプラントで大丈夫と心配される方も
いらっしゃると思いますが、それを使う部位や骨の量、さらにはかみ
合わせを考え使えば全く心配は入りません。
レントゲン撮影など保険負担金がかかります
相談料 無料
費用
インプラント 39万円+税
ダミー 16万円+税
合計 55万円+税
治療期間 5か月


































