記事タイトル
下の一番奥歯に左右1本ずつインプラントを埋入
1、術前診断、治療計画
御家族の紹介で来院された患者様です。
他院で左右の奥歯を抜歯して
インプラントを希望されましたが
骨がないので骨ができるまで
待ちましょうと言われ
2年以上待っていたそうです。
CT撮影したところ
インプラントを希望されている部位には
十分な骨があることが確認できました。
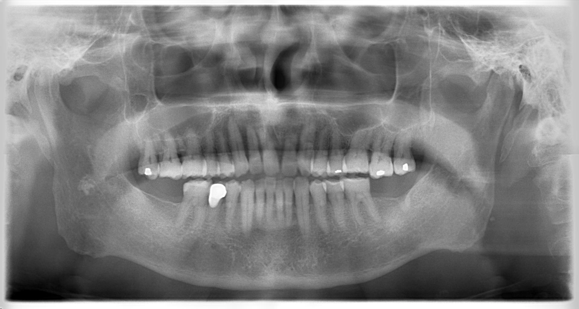
患者様のインプラント埋入部位は
下顎の左右の一番奥歯です。
この部位は顎の関節に一番近いため
噛む力が大きくかかります。
また
顎が太くブラキサ―(噛む力が強く歯ぎしりや食いしばりがある方)
であることが予想できるため
このような症例では
インターナル構造のインプラントが適してます。
(インプラントと被せ物の結合部は
インターナル構造とエクスターナル構造の
2種類があります。)
今回は太さが4、8ミリ 長さが8,0ミリの
チタンインプラントを使用しました。
2、インプラント1次手術、2次手術
静脈内鎮静法を用いながらインプラントの埋入を
左右1本ずつ2本同時に行いました。
コンサルテ―ションの際に
インプラントは1本ずつしかできないと思っている
患者様もいらっしゃいますが
2本以上でも同時に埋入しても全く大丈夫です。
手術終了後静脈内鎮静法を行っているため
しっかり意識が戻るまで
診療室で休んでいただいています。
3、被せ物の装着、メンテナンス
インプラント埋入後3カ月で
骨としっかり結合していることが
ぺリオテスターで確認できましたの
ジルコニアで製作した
被せ物をネジ留めで装着しました。
前述しましたが
噛む力がかかりますので
メンテナンス時には
噛み合わせのチェックは
大変重要です。
インプラントは虫歯になりませんが
インプラントに他の歯より強い力がかかり過ぎると
インプラントを支える骨が吸収することがあります。
これは天然歯でも同じです。
検査代
CT撮影 12000円+税
その他保険負担金がかかります。
相談料
無料
治療費
インプラント1本 35万円+税
静脈内鎮静法
6万円+税
合計
76万円+税
期間
4~5カ月程度






































