記事タイトル
インプラントあるいは矯正どちらを選択?
審美領域いわゆる上の前歯の部分の歯並びを
改善する方法と聞かれると
矯正またはインプラントを選択することになると思います。
矯正は抜歯はありますが、それ以上の外科的処置はありません.
ただ矯正装置を入れますので,日々の生活に差しさわりが
出ることがありますね。
例えば外出先での食事や会話さらには口腔清掃など
さまざまあると思います。
一方インプラントは抜歯とインプラント埋入がありますので
矯正よりほんの短い時間(手術中)ストレスはかかると思います。
しかし治療期間は矯正より短いでしょうし、治療期間中の
仮歯は矯正装置より違和感は少ないでしょう。
どちらにするか患者様の口腔状態(虫歯や歯周病が多いなど)
年齢、職業その他の要因を考え決めなければならないでしょう。
インプラントという治療方法が確立した現在、従来なら
天然歯を削り被せもので歯並びを改善するという方法は
取らなくても済むようになったのは長い目でみれば
患者さんの口腔内の崩壊を食い止めるまたはそのスペードを
なるべく遅くすることができます。
どちらにするのせよ十分にカンセリングに時間を割いてくれる
歯科医院を見つけてください。
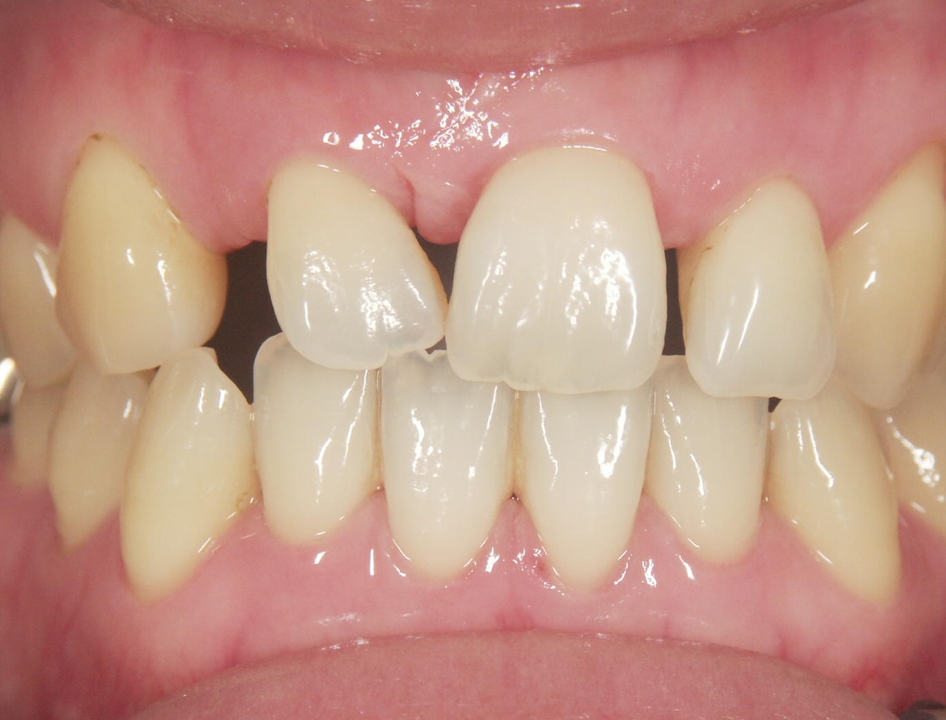
次の口腔内写真は2本抜歯し、2本インプラントを抜歯即時で
埋入した症例です。手術時間は1時間で治療期間は4カ月。


































